Invisalign – die sanfte Zahnkorrektur für schöne Zähne
Lesezeit: 5 Minuten

Inhaltsverzeichnis:
Bei Invisalign handelt es sich um Zahnschienen aus transparentem Kunststoff zur Behandlung etlicher Zahn- und Kieferfehlstellungen. Diese Zahnkorrektur unterscheidet sich in vielen Merkmalen deutlich von herkömmlichen Zahnspangen und bietet einige Vorteile:
Was ist das Besondere an Invisalign?
Invisalign Zahnschienen bestehen durchgehend aus transparentem Material und erfordern keine Brackets oder Drähte zur Befestigung an den Zähnen. Daher sind diese Zahnschienen beinahe unsichtbar und bieten somit bereits während des Tragens einen ästhetischen Vorteil. Die Zahnschienen werden über die Zähne gestülpt. Sie können bei Bedarf jederzeit vom Anwender herausgenommen werden, ohne dass dafür ein Zahnarzttermin notwendig wäre. Dies bietet einige Vorteile im Alltag, wie beispielsweise beim Sport, bei der Mundhygiene und beim Essen. Die Zahnkorrekturhilfen sind unkompliziert und zeitsparend zu pflegen. Eine Therapie mit Invisalign erfordert weniger zahnärztliche Kontrolltermine als herkömmliche Zahnspangen. Sie ist daher auch für Menschen, die großen Wert auf Ungebundenheit und Flexibilität im Alltag legen, empfehlenswert.
Für wen ist Invisalign geeignet?
Eine Behandlung mit Invisalign kann aus rein ästhetischen und aus gesundheitlichen Gründen erfolgen. Das bedeutet, dass diese kieferorthopädische Therapie sowohl für minimale als auch für schwerere Zahn- und Kieferfehlstellungen geeignet ist. Die Zahnschienen werden beispielsweise bei einem Engstand der Zähne, bei Überbiss, bei Zahnlücken und bei offenem Biss eingesetzt. Dank modernster Technologie kann Invisalign exakt an die Bedürfnisse des Gebisses angepasst werden.
Die Therapie ist für junge und für ältere Menschen geeignet.
Bei Kleinkindern unter sechs Jahren sollte von einem derartigen Eingriff in das Zahn- und Kieferwachstum jedoch abgesehen werden. Zur Therapie sehr komplexer Zahn- und Kieferfehlstellungen kommen häufig andere bewährte Methoden, wie beispielsweise feste Zahnspangen, zum Einsatz. Auch in diesem Bereich existiert die Möglichkeit einer unsichtbaren Therapievariante – nämlich der Einsatz einer festen Zahnspange an den Zahninnenseiten.
Für etliche Zahnfehlstellungen ist Invisalign allerdings gut geeignet. Oftmals reicht auch bei komplexeren Zahnfehlstellungen eine sanfte Korrektur aus, um ein ästhetisches Ergebnis der Zahnstellung zu erreichen.
Wie läuft eine Behandlung mit Invisalign in Ihrer Praxis in Frankfurt ab?
In einem Erstgespräch erhalten Sie detaillierte Informationen zum Behandlungsablauf. Eine ausführliche Untersuchung Ihrer Zähne ermöglicht eine exakte Diagnose der Zahn- bzw. Kieferfehlstellung. Darauf aufbauend ist es möglich, mittels innovativer 3D-Technik das Gebiss virtuell darzustellen, um kleinste Details bei der Erstellung der Zahnschienen zu berücksichtigen. In einem weiteren Zahnarzttermin erhalten Sie Ihre ersten Zahnschienen, die sofort einsatzbereit sind. Sie sollten diese mindestens 22 Stunden pro Tag tragen, um die Behandlung möglichst effektiv auszuführen. Gleichzeitig bleiben Sie flexibel, da Sie die Zahnschienen jederzeit herausnehmen können. So ist unbeschwertes Essen und eine gründliche Zahnhygiene problemlos und jederzeit möglich.
In einem Zyklus von jeweils ca. zwei Wochen erfolgen weitere Zahnarzttermine. Hierbei werden Zahn- und Kieferveränderungen kontrolliert. Angepasst an den Therapiefortschritt erhalten Sie jeweils neue Zahnschienen, die Sie in einem weiteren Zyklus tragen, bis erneut eine sanfte Verschiebung der Zähne erfolgt ist. Je nach Schwere der Zahnfehlstellung kann die Behandlungsdauer zwischen wenigen Wochen und circa 18 Monaten dauern. Die voraussichtliche Therapiedauer erfahren Sie nach eingehender Untersuchung bei einem persönlichen Zahnarzttermin.
Wie lange dauert eine Therapie mit Invisalign?
Die Dauer der kieferorthopädischen Behandlung hängt zunächst von der Schwere der Zahn- und Kieferfehlstellung ab. Die Korrektur minimaler Zahnfehlstellungen aus vorwiegend ästhetischen Gründen ist meist schon nach wenigen Wochen abgeschlossen. Schwerere Fehlstellungen bedürfen einer längeren Behandlungsspanne. Insgesamt kann die Therapiedauer bis zu 18 Monaten betragen. Die individuelle Tragedauer kann unter Umständen an den jeweiligen Behandlungsfortschritt angepasst werden.
Grundsätzlich gilt: Je konsequenter Sie die herausnehmbaren Zahnschienen tragen, desto schneller und effektiver können Sie das erwünschte Behandlungsziel erreichen. Invisalign Zahnschienen sollten mindestens 22 Stunden pro Tag getragen werden.
Nach erfolgter Therapie ist es empfehlenswert, eine Zeitlang sogenannte Retainer zu tragen. Hierbei handelt es sich um Zahnkorrekturhilfen, die eingesetzt werden, um die Zähne in ihrer neuen, korrekten Position zu halten. Um ein Rezidiv (Wiederauftreten) von Zahnfehlstellungen zu verhindern, sollten die Retainer wenigstens einige Wochen nach Beendigung der Therapie getragen werden. Das Tragen dieser Zahnkorrekturhilfen erfolgt meist nur nachts oder an bestimmten Tagen. Somit ist auch hier Flexibilität gewährleistet.
Übernehmen Krankenkassen die Kosten einer Therapie?
Leider wird die Behandlung mit Invisalign Zahnschienen nicht von den gesetzlichen Krankenkassen übernommen. Es besteht die Möglichkeit, eine private Krankenversicherung bzw. eine Zahn-Zusatzversicherung abzuschließen. Je nach Tarif und Vertragsbedingungen werden Behandlungen mit Invisalign von diesen Anbietern bezahlt. Bei manchen Versicherungen ist es notwendig, bei Abschluss des Vertrages noch keine Zahnfehlstellung zu besitzen. Daher sollte man sich vorab gründlich beim jeweiligen Versicherungsanbieter über etwaige Anforderungen und Angebote informieren.
Sie wollen wissen wie eine Invisalign-Behandlung bei Ihnen aussehen könnte? Wir beraten Sie gern persönlich! Vereinbaren Sie einfach Ihren individuellen Beratungstermin.
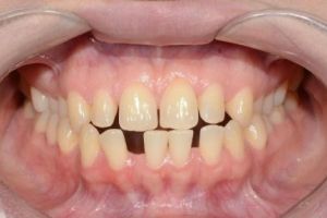
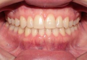
Erfolge: Vorher-Nachher einer Invisalign Behandlung

Vorher

Nachher

Vorher
